Please follow these 2 easy steps:
Korne Ortho is working on ways to stay connected and support our patients in active orthodontic treatment. We have set up a “Virtual Appointment” to help with comfort care or monitor your treatment and address any teeth questions you may have.
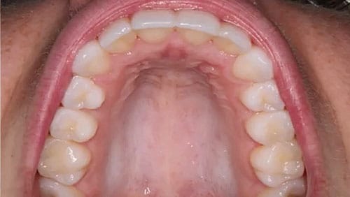
1. Using spoons (to retract your lips and cheeks) and using your mobile phone, take 5 photos as shown below:
2. Email photos to paul@korneortho.com
Tips and tricks for having great photos:
• Have a friend or family member take the photos for you
• Use a plastic spoon to pull back your lips, or your fingers if you don’t have a spoon
• Make sure your flash is on
• Try to capture just your mouth and teeth if possible
• Relax your lips – don’t make them tense!
• **Keep your teeth together! Bite on your back teeth during the photo
Our team will review your photos and get back to you within 1 business day. For some in-person appointments that had to be cancelled, we may reach out and ask you to complete a virtual appointment with one of our doctors or hygienists, using our HIPAA compliant virtual platform.
If you are not yet in orthodontic treatment and would like to find out more about how orthodontics would improve your smile, then please email us at paul@korneortho.com or fill out your info on our website and we will gladly arrange a Virtual Appointment to meet you (and your family)!

