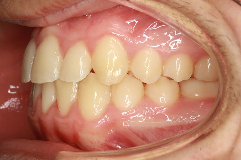
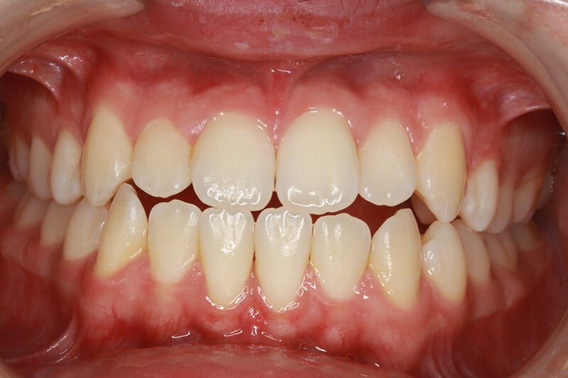
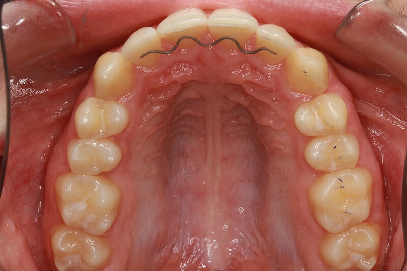
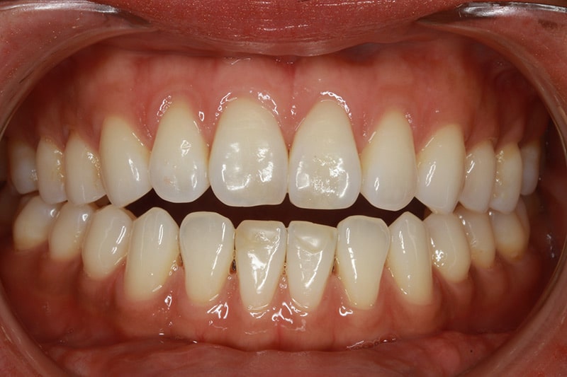
Processus d’un traitement orthodontique
Nous avons plus de 33 années d'expérience
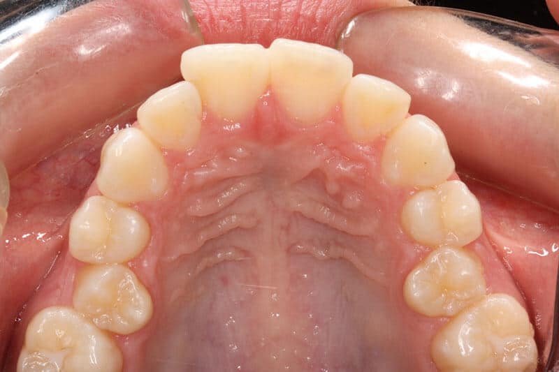
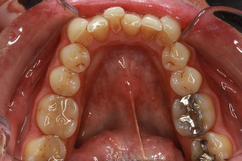
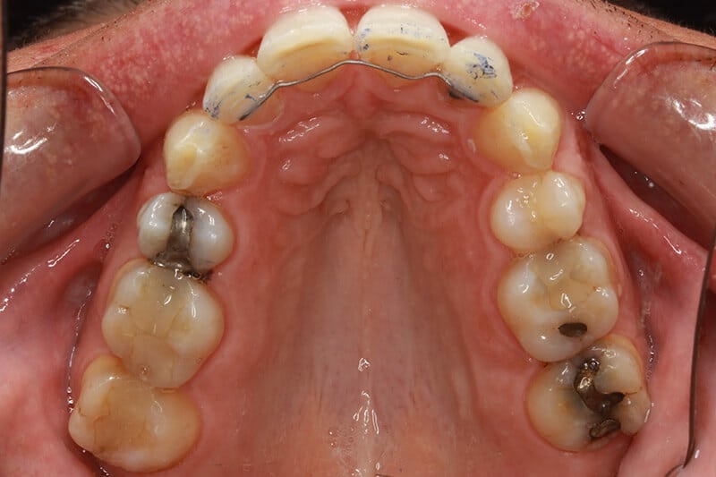
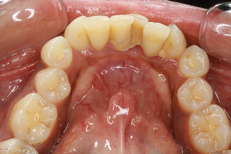
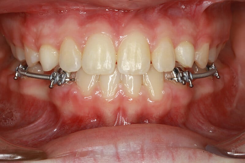
Le traitement orthodontique ne se contente pas de corriger les dents tordues et mal positionnées, il joue également un rôle important dans l'amélioration de la santé bucco-dentaire. Notre objectif est de trouver un équilibre harmonieux entre la dentition et les autres structures faciales.


